Your GPS Care Guide

Dentistry, reimagined — from your first visit to long-term wellness.

At Gables Perfect Smile, we believe exceptional dentistry goes beyond procedures.
Your GPS Care Guide is designed to help you feel informed, comfortable, and confident—before, during, and after your visit to our Coral Gables dental office.

Your First Visit

A thoughtful beginning

Your first visit at Gables Perfect Smile is intentionally unhurried and comprehensive. We take the time to understand your oral health, your goals, and your concerns so we can design care that truly fits you.

During your initial appointment, you can expect:

  • A comprehensive dental exam
  • Advanced digital imaging 
  • A.I assisted diagnostics
  • Intraoral Digital Health Scan
  • A personalized discussion of findings and recommendations
  • Clear explanations, without pressure or rush
  • Customized Plan adapted to your needs


Our approach allows patients in Coral Gables, Miami,Miami Beach and the greater south Florida to experience dentistry that is proactive, precise, and centered around you and your long-term wellness.

Our Personalized Care Philosophy

Care without compromise

No two patients are the same—and your dental care shouldn’t be either. At Gables Perfect Smile, every treatment plan is personalized based on your health, comfort, and lifestyle.

We focus on:

  • Preventing issues before they become complex
  • Addressing the root cause, not just symptoms
  • Providing honest recommendations guided by quality, not quantity

Our philosophy is simple: dentistry should feel intentional, never transactional.

Comfort And Wellness

A calmer kind of dentistry

We’ve designed our Coral Gables dental office to feel refined, welcoming, and peaceful. From the moment you arrive, every detail is curated to help you feel at ease.

Our comfort-focused approach includes:

  • Gentle dentistry techniques
  • Laser dentistry for improved comfort and healing 
  • Anxiety-aware care
  • A thoughtfully designed, spa-like environment


Whether you’re anxious about dental visits or simply value a more elevated experience, we’re here to make your time with us as comfortable as possible.

Advanced Technology & Precision Care

Modern dentistry with purpose

We invest in advanced dental technology because it allows us to deliver more precise, efficient, and comfortable care.

Our technology-driven approach may include:

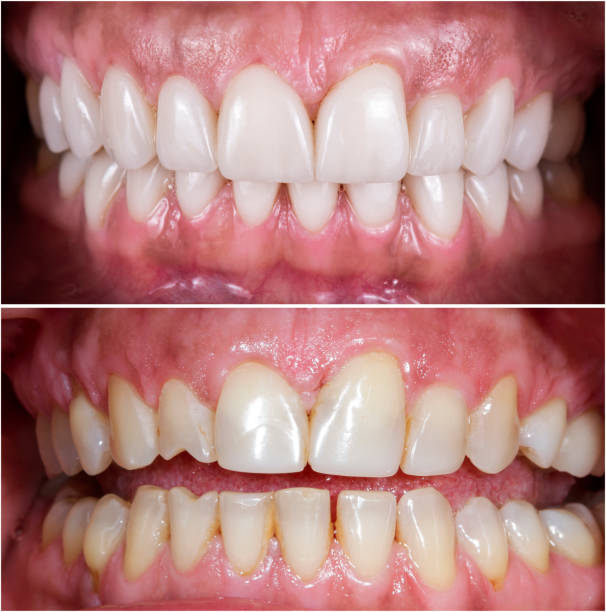
  • Digital Smile Design for predictable cosmetic outcomes
  • 3D imaging for accurate diagnosis and treatment planning
  • Laser dentistry for minimally invasive care
  • Robotic-assisted implant surgery for exceptional precision

Technology at Gables Perfect Smile is never about novelty—it’s about delivering better results with greater confidence.

Insurance & Financial Care

Clarity, transparency, peace of mind

We believe understanding your dental care investment should be simple and stress-free. Our team is here to guide you through insurance benefits and financial options with clarity and respect.

We offer:

  • Insurance guidance and benefit reviews
  • Flexible financing options
  • Clear communication before treatment begins


Our goal is to help patients throughout Miami and Coral Gables make informed decisions without surprises or pressure.

Before & After Your Visit

Guidance every step of the way

We want you to feel supported beyond the dental chair. Before your appointment, we’ll help you prepare so you know exactly what to expect. After treatment, we provide clear instructions and thoughtful follow-up to support healing and long-term success.

Our commitment doesn’t end when your appointment does—it continues as part of your ongoing care.

Secure Patient Access

Your information, safely managed

For your convenience, we offer secure online access to essential patient information, including:

  • New patient forms
  • Medical and dental history updates
  • Secure communication with our office


Accessing your records is simple, private, and designed to fit seamlessly into your life.

Frequently Asked Questions

Answers, made simple

We know choosing a dental office comes with questions. Our FAQ section is designed to provide clear, honest answers about:

  • Comfort and anxiety-friendly care
  • Advanced dental technology
  • Insurance and payment options
  • What makes Gables Perfect Smile different


If you ever need additional clarity, our team is always happy to help.

Why Patients Choose Gables Perfect Smile

Patients choose our Coral Gables dental practice because they value:

  • Personalized, wellness-focused dentistry
  • Advanced technology used with intention
  • A calm, refined environment
  • Honest guidance and long-term care planning


At Gables Perfect Smile, we don’t just treat teeth—we guide you toward a healthier, more confident smile.

Position It as Precision, Not Gadgets

You have a HUGE differentiator — but mock-ups often bury it.

Reframe Tech as:

Technology that removes guesswork and enhances comfort.

Highlight:

  • Robotic-guided implant surgery
  • Laser dentistry
  • Digital smile design
  • 3D imaging

This supports your “excellence without compromise” philosophy.